Real-world Case Studies
Explore real ultrasound case studies that provide practical insights and enhance your diagnostic skills.
Tips & Tricks
Receive tips and tricks to deepen your understanding of ultrasound imaging techniques.
Interactive Learning
Engage in learning experience using high-quality images to reinforce your knowledge and improve your diagnostic accuracy.
Ultrasound Case Studies
Welcome to the ultimate resource for those seeking to boost their ultrasound skills through in-depth case studies and real images. Dive into our cases studies and images designed to address your learning needs and elevate your diagnostic proficiency. Join us and unlock the scanning tips and tricks and take your skills to the next level.
Cases Curriculum
-
1
General Ultrasound
-
(Included in full purchase)
Renal Angomyolipoma
-
(Included in full purchase)
US Guided Thyroid FNA
-
(Included in full purchase)
Hydatid Cyst
-
(Included in full purchase)
Gallbladder Sludge
-
(Included in full purchase)
Liver Cirrhosis
-
(Included in full purchase)
Cholecystitis
-
(Included in full purchase)
Epididymal Cyst
-
(Included in full purchase)
-
2
Vascular Ultrasound
-
(Included in full purchase)
Internal Jugular Vein Thrombus
-
(Included in full purchase)
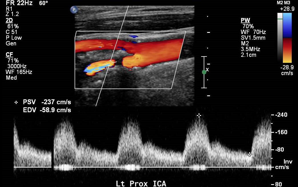
Carotid Duplex - ICA Stenosis
-
(Included in full purchase)
Carotid Occlusion
-
(Included in full purchase)
Venous Insufficiency by Duplex Ultrasound
-
(Included in full purchase)
Venous Insufficiency Exam
-
(Included in full purchase)
Lower Extremity Venous Duplex - Deep Vein Thrombosis
-
(Included in full purchase)
Anterior Tibial Artery Stent Perforation & Pseudo
-
(Included in full purchase)
Lower Arterial Duplex - Fem-Pop Bypass
-
(Included in full purchase)
Popliteal Artery Stenosis
-
(Included in full purchase)
-
3
Case Study Image Submissions
-
(Included in full purchase)
Publish your case studies!
-
(Included in full purchase)
Ready to Dive into Ultrasound Case Studies?
Join now for free!